Differences between dental veneers and crowns. We explain everything.
Dental crowns and veneers are two common solutions for improving your smile, but they serve different purposes. At Alejandro Prieto Dental, in the Salamanca district of Madrid, we specialize in both restorative and cosmetic dental treatments.
Many patients ask about the difference between a dental crown and a veneer, as well as the cost of these treatments. In this article, we will explain in simple terms what crowns are, the types and prices of dental crowns, and how they compare to veneers.
Our goal is to help you make an informed decision to achieve a healthier and more aesthetic smile.
What is a dental crown?
A dental crown (often called a “cap”) is a custom-made covering that covers the entire tooth. It restores the tooth’s shape, strength, and appearance. It is typically recommended when a tooth is severely damaged or weakened, such as after extensive decay, a fracture, or a root canal. By covering the entire tooth, the crown holds it together and protects it from further damage.
Main benefits of dental crowns:
Strength and protection: Reinforces a weakened tooth (due to a large filling or after a root canal) and prevents it from fracturing.
Restored function: Allows you to chew and bite normally again, as it restores the tooth’s shape and durability.
Natural appearance: Modern crowns are the same color as the tooth and are customized to blend seamlessly with the smile.
Long-lasting solution: Made with durable materials, they can last for many years (10–15 or more) with good oral hygiene.

Types of dental crowns
There are several types of crowns, which differ mainly in the material they are made of. We will recommend the best option based on the tooth’s location, your aesthetic goals, and your budget. The most common types are:
Porcelain crowns (all ceramic): Made entirely of porcelain or ceramic. They offer the most natural appearance, mimicking the color and translucency of tooth enamel. They are ideal for front teeth or those visible when smiling. They are metal-free and biocompatible, perfect for patients with metal sensitivity.
Zirconia crowns: Zirconia is a very strong ceramic material. These crowns are durable, aesthetically pleasing, and withstand significant biting forces, making them ideal for molars. They combine strength and a natural appearance, which makes them very popular for posterior restorations.
Porcelain-fused-to-metal (PFM) crowns: These combine a metal base with an outer layer of porcelain. The metal provides strength, and the porcelain gives a tooth-like appearance. They have been used for decades due to their strength and fit. They are slightly less translucent than all-ceramic crowns, but still offer good aesthetic results and are often a more economical option.
Metal crowns (gold or alloys): Made entirely of metal (gold or dental alloys). Although they are not tooth-colored, they are the most durable and rarely fracture. They require less tooth reduction and are usually placed on back molars, where they are not visible. Some patients choose gold crowns because of their longevity and because they require less wear on the opposing teeth.
How much do dental crowns cost in Madrid?
One of the most common questions is about the price. In Madrid, the cost usually ranges from €350 to €650 per tooth , depending on the material and the complexity of the case. Premium options, such as zirconia or all-ceramic crowns, are at the higher end of the price range.
Additional treatments, such as root canals or reconstruction of severely damaged teeth, can also affect the final price. For patients requiring multiple crowns or full mouth restorations, we develop customized plans that adjust the cost per tooth and offer financing options for extensive treatments.
Several factors affect the price, such as the material chosen, the number of teeth to be treated, and the necessary preparatory work. At our clinic, transparency is fundamental: we provide a detailed estimate before we begin.
We combine competitive pricing with state-of-the-art CAD/CAM technology and premium materials to ensure precise, durable, and natural-looking crowns. Investing in a crown not only restores function and aesthetics but can also save a tooth from extraction, providing long-term value and peace of mind.
Tip: We also offer flexible payment plans and financing up to 48 months for extensive treatments. Don’t hesitate to ask us about payment options to make your dental treatment as affordable as possible.

Difference between veneers and dental crowns:
| Feature | Dental veneers | Dental caps (crowns) |
|---|---|---|
| Coverage | Only the front part of the tooth | The entire tooth, covering 360º |
| Main objective | Aesthetics: improve color, shape and size | Restoration: protecting and strengthening damaged teeth |
| Dental Reduction | Minimal, it retains most of the enamel | More grinding reduces more tooth structure |
| Common materials | Porcelain composite | Porcelain, zirconium, or porcelain-metal |
| Average duration | 10–15 years (porcelain) / 4–7 years (composite) | 10–15 years or more depending on material and care |
| Price in Madrid | Porcelain veneers: €400–€650 per tooth. Composite veneers: €200–€400 (shorter lifespan). | €350–€650 per crown, depending on material and complexity |
| When is it recommended | Stains, minor fractures, small or misaligned teeth | Weakened, fractured teeth or teeth after root canal treatment |
In summary: veneers are more conservative and focus on aesthetics, while crowns cover the entire tooth and are used when it is more damaged. The price of porcelain veneers is similar to that of a dental crown in Madrid .

If you’re looking for a complete aesthetic makeover with minimal sizing, explore our high-aesthetic veneers and digital smile design , which allows you to preview the result before starting.
Veneers or dental crowns?
Choosing between a crown and a veneer depends on the condition of the tooth and your goals. A crown is usually recommended when the tooth is broken, has a large filling, or has undergone root canal treatment, especially in molars that bear the most chewing force.
Veneers, on the other hand, are ideal if the tooth is healthy but you want to improve its color, shape, or slight alignment. They also represent a conservative way to enhance the appearance of front teeth, especially in cases of stubborn stains or small fractures.
On the other hand, in some complete smile design treatments, both options can be combined: crowns for the most damaged teeth and veneers for the rest.
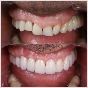
Transform your smile in Madrid
Our approach is completely personalized, guaranteeing a natural result that enhances your facial aesthetics. Your smile deserves it, and achieving the smile of your dreams can be easier than you think.
Contact us at Alejandro Prieto Dental and let us help you restore the health and beauty of your smile with the most suitable solution: crowns, veneers, or other specialized treatments. We look forward to seeing you smile with confidence thanks to the results!
